12月22日,球盟会qmh网站生物技术学院、蚕业研究所,农业农村部蚕桑遗传改良重点实验室郝碧芳副研究员在美国微生物学会旗下的Microbiology Spectrum (IF: 7.171,Q1)发表了题为“Two Cholesterol Recognition Amino Acid Consensus Motifs of GP64 with Uncleaved Signal Peptide Are Required for Bombyx mori Nucleopolyhedrovirus Infection”的研究论文。
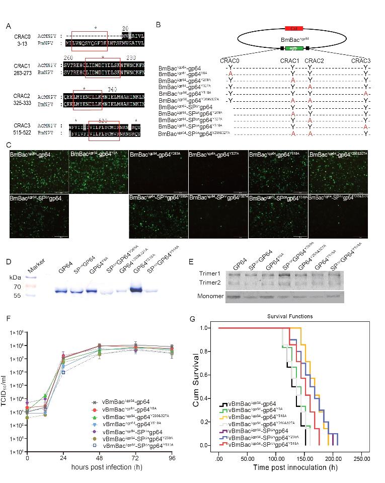
家蚕核型多角体病毒(BmNPV)是蚕桑生产中危害最严重的病原微生物,BmNPV感染过程完全依赖于宿主细胞膜上的胆固醇,该研究首次揭示BmNPV感染依赖于胆固醇的内在机制。囊膜蛋白GP64是介导BmNPV感染的关键膜融合蛋白,GP64通过其内部的两个胆固醇共识基序(CRAC1与CRAC2)与宿主的胆固醇互作引发病毒感染,这些特性是由GP64逃避宿主信号肽酶切割的特殊性决定,未切割的GP64信号肽赋予BmNPV更强的感染性,有利于病毒的感染增殖;研究同时证明GP64是一种胆固醇结合蛋白,细胞膜上的胆固醇是GP64介导的细胞-细胞间融合的关键受体分子。

上图为野生型GP64与信号肽切割的GP64中胆固醇共识基序突变病毒感染性分析
该团队多年来潜心于BmNPV感染机制研究,先后发现胆固醇是BmNPV入侵所必需的细胞因子,BmNPV采用巨胞饮内吞方式进入家蚕细胞,直接膜融合导致病毒核衣壳不能被转到宿主细胞核内导致感染失败(BBRC,2014;Viruses,2019a);此外,研究证明细胞膜上胆固醇的处理可以激活非宿主细胞的巨胞饮内吞作用,从而介导BmNPV病毒粒子跨越细胞核膜屏障,在非宿主细胞内复制扩增(Viruses,2019b)。相关研究成果为深入理解BmNPV感染特性奠定扎实基础,并为家蚕抗病毒研究提供信息。
郝碧芳,球盟会qmh网站生物技术学院、蚕业研究所,农业农村部蚕桑遗传改良重点实验室副研究员,论文第一作者;黄金山研究员,论文通讯作者。该研究得到国家自然科学基金面上项目(31670152, 32172796)的资助。
论文链接:https://doi.org:10.1128/Spectrum.01725-21



